02 8711 8818

Book Now

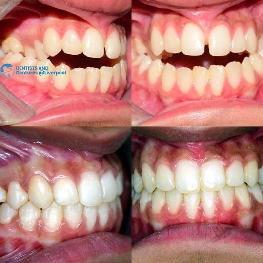
Before & After Showcase

Results That Speak

At Dentists and Dentures @Liverpool, we take pride in creating healthy, confident smiles. Browse our before & after gallery to see real patient transformations, showcasing the quality of our dental care and the life changing difference a beautiful smile can make.